Root Canal Treatment
This dental procedure is carried out when the innermost part of the tooth ‘the pulp’ becomes badly decayed or infected. If left untreated, the tooth will begin to die which could lead to the loss of the tooth. To save the tooth, the infected pulp needs to be removed to prevent the formation of an abscess. In dental terms this procedure is called ‘Endodontics’
The tooth is made up of
- Enamel – The hard outer layer of the tooth.
- Dentine – This forms the core and gives the basic shape to the tooth which supports the enamel, it is softer than enamel but harder than bone.
- Pulp – Is the central part of the tooth which contains nerves and blood vessels and lies within the root canal
![]() |
![]() |
The reason the pulp would die
- Caries – If caries ‘decay’ is left it will travel through the enamel and dentine down into the pulp chamber.
- Trauma – A severe knock that affects the pulp.
- Severe Gum Disease - The gum detaches itself from the tooth creating a gap between the tooth and the gum, bacteria then gets trapped causing an infection which can infect the pulp.
The symptoms
- Pain – This can be anything form a constant dull ache to severe pain or pain only when biting
- A spot sometimes appears on the gum in the area of the infected tooth, this is where the collection of puss from the root tip is draining which will leave a bad taste in your mouth.
- Swelling in the gum area surrounding your tooth
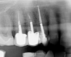
On your initial appointment the dentist will locate the offending tooth and take an x-ray in order to show the roots of the tooth, to see how far the decay has travelled and if there is an abscess present. A course of antibiotics may be given to clear the abscess before the treatment is started as the abscess will reoccur if the treatment is NOT carried out.
The first appointment
- The dentist will give you a local anaesthetic to numb the tooth and the area surrounding it.
- Your tooth will then be isolated from the rest of your teeth using a ‘rubber dam’ which is a thin sheet of rubber placed over your mouth. It is used to keep the tooth dry as saliva has bacteria present which can infect the tooth. It is also used to protect your airway as the instruments used to clean the canals are very small.
- Your dentist has to gain access to the pulp chambers, this is done by drilling a hole in the top of your tooth.
- Once access has been gained to the pulp chambers the dead pulp is removed from the root canals using very small files disinfectants.
- Once the root canals are cleaned the dentist will place a medication to help clear any bacteria. The tooth will then either be temporarily filled and another appointment required or if the infection was not too serious, the tooth can be filled permanently and your treatment complete.
- The tooth may feel tender for a few days and you may need to take pain killers
Further 1 or 2 appointments are usually necessary to complete the root canal and seal the tooth. Posterior teeth with root canals will usually need a crown to prevent them from cracking.
For more complex root canals, patients will often be referred to an endodontist for treatment under a microscope.


